사랑이 아픈이


ⓘ 사랑니란?


사랑니는 구강 내 가장 뒤쪽에 위치하는 치아로서 영구치 중 가장 늦게 형성되는 큰 어금니입니다. 세 번째 큰 어금니이기 때문에 제3대구치라고 불립니다. 


이성에 대한 호기심이 많은 10대 후반에서 20대 초중반에 맹출하고 첫사랑을 앓을 때처럼 힘들고 아픈 고통이 뒤따르기 때문에 우리나라에서는 사랑니라고 불린다는 설이 있습니다. 


익힌 음식을 주로 먹게 되는 환경에 따라 턱뼈가 작아지는 방향으로 진화하게 되면서 사랑니가 바르게 나지 못하고 누워서 형성되어 여러 가지 구강 문제를 일으키는 경우가 많습니다. 

ⓘ 사랑니란?


사랑니는 구강 내 가장 뒤쪽에 위치하는 치아로서 영구치 중 가장 늦게 형성되는 큰 어금니입니다. 

세 번째 큰 어금니이기 때문에 제3대구치라고 불립니다.


이성에 대한 호기심이 많은 10대 후반에서 20대 초중반에 맹출하고 첫사랑을 앓을 때처럼 힘들고 

아픈 고통이 뒤따르기 때문에 우리나라에서는 사랑니라고 불린다는 설이 있습니다. 


익힌 음식을 주로 먹게 되는 환경에 따라 턱뼈가 작아지는 방향으로 진화하게 되면서 

사랑니가 바르게 나지 못하고 누워서 형성되어 여러 가지 구강 문제를 일으키는 경우가 많습니다. 



교정치료와 관련하여 치아를 이동 시킬 공간이 필요한 경우

365바른마음치과가 말하는

사랑니 발치를 해야하는 경우

재발성 혹은 심각한 사랑니 주위염이 있는 경우

제2대구치 후방에 깊은 치주낭이 존재하는 경우

사랑니에 수복치료가 불가능할 정도로 심한 충치가 생긴 경우

사랑니가 인접치아를 손상시키는 경우

사랑니를 발치해야 제2대구치의 충치 치료가 원활해지는 경우

사랑니에 낭종 및 양성종양이 생긴 경우

악교정 수술시 사랑니 발치가 필요한 경우

교정치료와 관련하여 치아를 이동 시킬 공간이 필요한 경우

365바른마음치과가 말하는

사랑니 발치의 중요포인트

POINT 01


빠른 시간 내에 아프지 않게 발치하는 것이 중요합니다.

POINT 02 


인접치에 영향을 미치기전에 후유증 없이 발치하는 것이 중요합니다.


사랑니 발치의
중요포인트

POINT 01


빠른 시간내에 아프지 않게 발치하는 것

POINT 02


인접치에 영향을 미치기전에 후유증없이 발치하는 것


365바른마음치과의

사랑니 발치

POINT 01


의식하 진정을 통해

두려움 해소

POINT 02 


발치 전 철저한 CT분석과

자세한 설명

POINT 03 


풍부한 사랑니 발치 경험


365바른마음치과의

사랑니 발치

POINT 01


의식하 진정을 통해

두려움 해소

POINT 02


발치 전 철저한 CT분석과

자세한 설명

POINT 03


풍부한 사랑니

발치 경험


365바른마음치과의

사랑니 발치 과정 4단계

01.

구강검진


사랑니 주변 잇몸의 염증정도, 매복상태를 확인합니다.


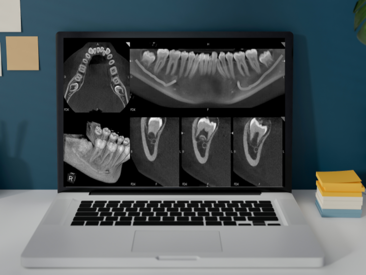
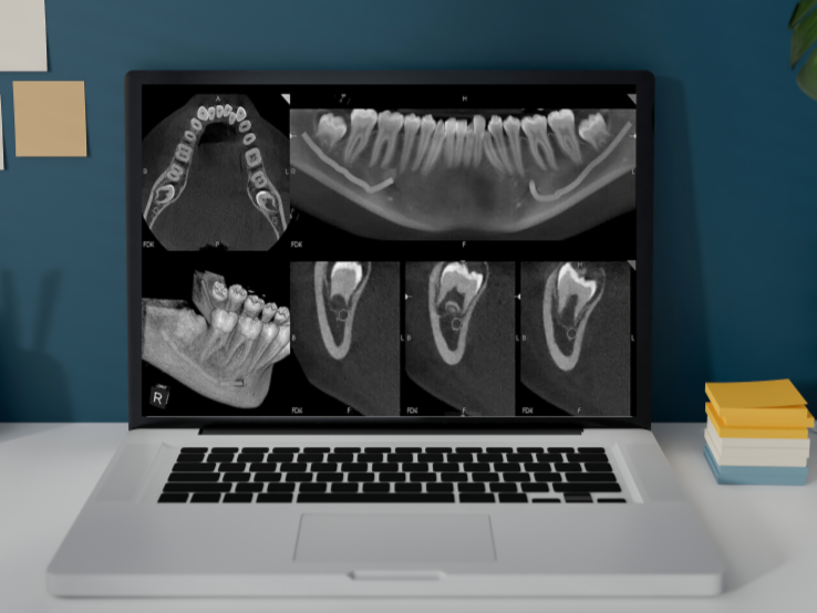
02.

파노라마 & CT촬영


사랑니의 매복상태, 신경관, 상악동과의 위치관계 등을 확인합니다.


03.

동의서 작성


발치 과정 및 주의사항을 사전 설명 후 동의서 작성합니다.


04.

발치 주의사항 설명


신속하고 안전하게 사랑니를 발치하고, 주의사항을 설명합니다.


04.

발치 & 주의사항 설명



신속하고 안전하게 사랑니를 발치하고, 주의사항을 설명합니다.


ⓘ 사랑니 발치 (후) 주의사항


ⓘ 지혈을 위해 발치 후 거즈를 1~2시간 정도 꽉 물고 있어야 합니다.


ⓘ 지혈을 위해 침과 피는 삼키셔야 합니다.


ⓘ 지혈을 위해 흡연 및 빨대 사용을 피하셔야 합니다.


ⓘ 발치 당일 사우나, 과격한 운동은 피해주세요.


ⓘ 발치 후 2~3일 정도는 소량씩 피가 묻어날 수 있습니다.




ⓘ 발치된 부위를 손이나 혀로 자극하지 마세요.


ⓘ 발치 후 통증과 부기를 줄이기 위해 2일 동안은 냉찜질 해주세요.


ⓘ 자극적인 음식은 피해주세요.


ⓘ 발치 후 일주일간 금주와 금연을 지켜주세요.


ⓘ 사랑니 발치 (후) 주의사항


ⓘ 지혈을 위해 발치 후 거즈를 1~2시간 정도 꽉 물고 있어야 합니다.


ⓘ 지혈을 위해 침과 피는 삼키셔야 합니다.


ⓘ 지혈을 위해 흡연 및 빨대 사용을 피하셔야 합니다.


ⓘ 발치 당일 사우나, 과격한 운동은 피해주세요.


ⓘ 발치 후 2~3일 정도는 소량씩 피가 묻어날 수 있습니다.


ⓘ 발치된 부위를 손이나 혀로 자극하지 마세요.


ⓘ 발치 후 통증과 부기를 줄이기 위해 2일동안은 냉찜질을 해주세요.


ⓘ 자극적인 음식은 피해주세요.


ⓘ 발치 후 일주일간 금주와 금연을 지켜주세요.

사랑이 아프지 않은이

항상 바른마음으로 진료하는 365바른마음치과입니다.

진료시간

월~금요일(평일)  09:30 - 21:00

토~일요일(주말)  09:30 ~ 17:00

공휴일  09:30 ~ 17:00


진료문의

062-716-2080

📍 광주광역시 광산구 첨단중앙로 110, 4층


대표원장 : 강병훈, 오용성  |  사업자정보 : 795-76-0045
주소 : 광주광역시 광산구 첨단중앙로 110, 4층 401호

T. 062-716-2080   E. 365goodmind@naver.com

mobile background


  대표원장 : 강병훈, 오용성  |  사업자정보 : 795-76-00457

  주소 :  광주광역시 광산구 첨단중앙로 110, 401호 (월계동)
  T. 062-716-2080    E. 365goodmind@naver.com

진료시간

평    일   09:30 ~ 21:00

주    말   09:30 ~ 17:00

공휴일   09:30 ~ 17:00

대표전화.
062-716-2080


이메일.
365goodmind@naver.com